Einweiser

Kasuistiken aus unserer Klinik

Klinische Fallberichte

Hier finden Sie den aktuellen Fallberichte aus der Endoskopie der Klinik für Innere Medizin - Gastroenterologie, Hämatologie und Onkologie, Nephrologie – DRK Kliniken Berlin Köpenick

Gallensteine nach Magenbypass – moderne Endoskopie macht Therapie möglich

Nach einer Magenbypass-Operation zur Behandlung von starkem Übergewicht (Adipositas) kommt es häufiger zur Bildung von Gallensteinen. Dies liegt unter anderem an der raschen Gewichtsabnahme. Gelangen Gallensteine in den Gallengang (Choledocholithiasis), kann dies zu Schmerzen, Gelbsucht oder Entzündungen führen.

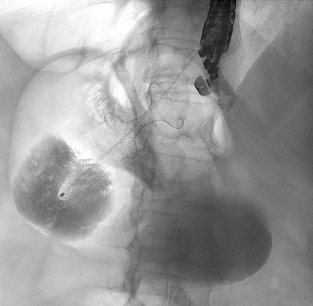
Abbildung 1

Durch die veränderte Anatomie nach einem Magenbypass ist der Zugang zum Gallengang jedoch erschwert: Eine herkömmliche endoskopische Untersuchung und Behandlung (ERCP) ist häufig nicht möglich, da die Papille – die Mündungsstelle des Gallengangs – mit einem normalen Endoskop nicht erreicht werden kann.

Der Fall

Eine Patientin stellte sich bei uns mit Beschwerden durch Gallensteine im Gallengang vor. Aufgrund der vorangegangenen Magenbypass-Operation war die Papille auf konventionellem endoskopischem Weg nicht erreichbar. Nach ausführlicher Aufklärung entschieden wir uns gemeinsam mit der Patientin für ein modernes, minimal-invasives Verfahren: die sogenannte EDGE-Prozedur (Endoscopic Ultrasound-Directed Transgastric ERCP).

Hierzu wurde zunächst mithilfe der Endosonographie (Ultraschall von innen) der ausgeschaltete Magenanteil aufgesucht. Dieser wurde gezielt punktiert und die korrekte Lage unter Röntgendurchleuchtung mit Kontrastmittel überprüft (Abbildung 1).

Abbildung 2

Anschließend wurde der ausgeschaltete Magen mit Flüssigkeit gefüllt und eine Verbindung zwischen dem kleinen Magenrest und dem ausgeschalteten Magen geschaffen (Abbildung 2).

Diese Verbindung wurde mithilfe eines speziellen Metallstents (LAMS, „Hot Axios“) angelegt. Da bei der Patientin keine akute Entzündung der Gallenwege bestand, konnte einige Tage abgewartet werden, bis sich der Stent vollständig entfaltet hatte. Über diesen neu geschaffenen Zugang war es anschließend möglich, die notwendige ERCP durchzuführen und die Gallensteine zu entfernen (Abbildung 3).

Abbildung 3

Weiterer Verlauf

Nach erfolgreicher Entfernung der Gallenblase (Cholezystektomie) wurde der Stent nach insgesamt sechs Wochen im Rahmen einer Magenspiegelung wieder entfernt. Der weitere Verlauf war komplikationslos.

Fazit

Dieser Fall zeigt, dass auch bei komplexen anatomischen Verhältnissen nach bariatrischer Chirurgie moderne endoskopische Verfahren eine schonende und effektive Behandlung ermöglichen. Die enge Zusammenarbeit von Endoskopie, Chirurgie und Patientin war dabei entscheidend für den Therapieerfolg.

Klinik für Innere Medizin - Gastroenterologie, Hämatologie und Onkologie, Nephrologie


DRK Kliniken Berlin Köpenick
Tel.: (030) 3035 - 3319

Wenn der Magenbypass nicht mehr richtig wirkt

Hintergrund: Der Magenbypass ist ein bewährtes Operationsverfahren zur Behandlung von starkem Übergewicht. Viele Patientinnen und Patienten profitieren langfristig von einer deutlichen Gewichtsabnahme und einer Verbesserung begleitender Erkrankungen wie Diabetes oder Bluthochdruck.

In manchen Fällen kann es jedoch Jahre nach der Operation zu Problemen kommen. Typische Beschwerden sind: erneute Gewichtszunahme, vermehrtes Hungergefühl, schnelles Herzklopfen, Schwindel oder Durchfall nach dem Essen (sogenanntes Dumping-Syndrom). Eine häufige Ursache hierfür ist eine zu weit gewordene Verbindung (Anastomose) zwischen dem kleinen Magenrest und dem Dünndarm. Ist diese Öffnung zu groß, passiert die Nahrung zu schnell den Magen – das Sättigungsgefühl bleibt aus.

Bild 1

Der Fall

Eine Patientin stellte sich über unser Adipositaszentrum mehrere Jahre nach Magenbypass-Operation mit erneuter Gewichtszunahme und ausgeprägten Dumping-Beschwerden vor. In der Magenspiegelung zeigte sich eine deutlich erweiterte Anastomose.

Bild 1: Weit offene Anastomose vor der Behandlung

Bild 2

Statt einer erneuten Operation kann in vielen Fällen heute ein schonendes endoskopisches Verfahren eingesetzt werden. Dabei erfolgt die Behandlung von innen, also über eine Magenspiegelung – ganz ohne Bauchschnitt. In diesem Fall wurde eine endoskopische Verkleinerung der Anastomose mit dem BARS™-System (Ovesco) durchgeführt. Der Eingriff dauert in der Regel nur kurze Zeit, erfolgt meist in Sedierung und erfordert keinen längeren Krankenhausaufenthalt.

Bild 2: Verkleinerte Anastomose nach endoskopischer Therapie

Ergebnis

Bereits wenige Wochen nach dem Eingriff berichtete die Patientin über weniger Beschwerden und ein besseres Sättigungsgefühl.

Klinik für Innere Medizin - Gastroenterologie, Hämatologie und Onkologie, Nephrologie


DRK Kliniken Berlin Köpenick
Tel.: (030) 3035 - 3319

Schonende Entfernung eines großen Enddarmpolypen mittels ESD

Bei einer Darmspiegelung wurde bei einem Patienten ambulant ein etwa 3 cm großer, flacher Polyp (Abbildung 1) im Enddarm (Rektum) entdeckt und der Patient uns zur endoskopischen Entfernung vorgestellt.

Unser Ziel war es, den Polypen in einem Stück („en bloc“) vollständig zu entfernen. Dies ist aus mehreren Gründen besonders sinnvoll

  1. Die Ränder können sicher beurteilt werden, sodass klar ist, ob der Polyp vollständig entfernt wurde.
  2. Das Risiko für ein erneutes Auftreten (Rezidiv) an derselben Stelle ist deutlich geringer als bei einer stückweisen Abtragung.

Die Behandlung

Aufgrund der Größe und der flachen Ausdehnung des Polypen entschieden wir uns für eine endoskopische Submukosadissektion (ESD). Dieses spezialisierte endoskopische Verfahren ermöglicht es, auch größere und flache Veränderungen sehr präzise und vollständig zu entfernen, ohne dass eine Operation notwendig ist. Dabei wird der Polyp zunächst von der tieferen Wandschicht angehoben und anschließend mit speziellen Instrumenten schrittweise von der Darmwand gelöst. Ziel ist die komplette Entfernung in einem Stück.

Ergebnis

Der etwa 3 cm große Polyp konnte erfolgreich vollständig und zusammenhängend entfernt werden (Abbildung 4). Eine Operation war nicht erforderlich. Das entnommene Gewebe wurde anschließend feingeweblich untersucht, um die genaue Diagnose festzulegen.

Fazit

Dieser Fall zeigt, dass moderne endoskopische Verfahren wie die ESD auch bei größeren Polypen im Enddarm eine schonende, organerhaltende Alternative zur Operation darstellen. Durch die vollständige Entfernung im Ganzen wird eine sichere Diagnostik ermöglicht und das Risiko eines Wiederauftretens deutlich reduziert.

Klinik für Innere Medizin - Gastroenterologie, Hämatologie und Onkologie, Nephrologie


DRK Kliniken Berlin Köpenick
Tel.: (030) 3035 - 3319